Recent Blog Articles
Lead poisoning: What parents should know and do
How does waiting on prostate cancer treatment affect survival?
Does running cause arthritis?
Is alcohol and weight loss surgery a risky combination?
Preventing ovarian cancer: Should women consider removing fallopian tubes?
Healthier planet, healthier people
Is snuff really safer than smoking?
Will miscarriage care remain available?
Considering collagen drinks and supplements?
Does less TV time lower your risk for dementia?
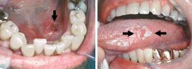
Oral Cancer
What Is It?
Oral cancer is cancer anywhere in the front of the mouth. It includes any cancer on the lips, tongue, inside surface of the cheeks, hard palate (the front of the roof of the mouth), or gums. Cancers in the back of the mouth, such as on the soft palate (the back of the roof of the mouth) or the back of the throat, are not considered oral cancer. Oral cancer is a type of cancer called squamous cell carcinoma, in which surface cells grow and divide in an uncontrolled way.
|
|
|
|
Oral cancer occurs more often in men than in women. The number of new cases of oral cancer has been slowly decreasing over the past two decades.
To continue reading this article, you must log in.
Subscribe to Harvard Health Online for immediate access to health news and information from Harvard Medical School.
- Research health conditions
- Check your symptoms
- Prepare for a doctor's visit or test
- Find the best treatments and procedures for you
- Explore options for better nutrition and exercise
I'd like to receive access to Harvard Health Online for only $4.99 a month.
Sign Me UpAlready a member? Login ».
Disclaimer:
As a service to our readers, Harvard Health Publishing provides access to our library of archived content. Please note the date of last review or update on all articles.
No content on this site, regardless of date, should ever be used as a substitute for direct medical advice from your doctor or other qualified clinician.
Free Healthbeat Signup
Get the latest in health news delivered to your inbox!

